Die handgelenknahe Speichenfraktur (distale Radiusfraktur) ist die häufigste Fraktur des menschlichen Skelettes. Ursache ist ein Sturz auf das Handgelenk, wobei eine Osteoporose einen begünstigenden Faktor darstellt. Zusätzlich kann auch der Ellenknochen (Ulna) mitgebrochen sein.
Die Diagnose wird anhand des typischen Unfallmechanismus, der körperlichen Untersuchung sowie eines Röntgenbildes gestellt.
Die Wahl der Therapie richtet sich nach der Schwere der Fraktur, wobei insbesondere die Anzahl der entstandenen Fragmente sowie deren Grad an Achsabweichung (Dislokation) mit in die Entscheidung einfließen. Darüber hinaus wird der allgemeine Gesundheitszustand sowie der vor dem Unfall vorgelegene Mobilitäts- und Aktivitätsgrad des Patienten erfragt.
Frakturen, die unverschoben stehen, können durch eine Gipsruhigstellung über 6-8 Wochen ausheilen. Hierbei sind jedoch Röntgenkontrollen im Verlauf notwendig, um eine Stellungsverschlechterung frühzeitig zu erkennen.
Bei den verschobenen Frakturen kommen verschiedene Verfahren zur Anwendung; die Auswahl der geeigneten Methode hängt von der Frakturanalyse ab. Man unterscheidet eine geschlossene Reposition von einer offenen (das heißt über einen Hautschnitt).
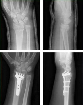
Bei einer aus 2 Fragmenten bestehenden Fraktur mit guter, harter Knochensubstanz kann – nach Gelingen einer geschlossenen Reposition – eine Stabilisierung mittels sogenannter Knochendrähte (Kirschnerdrähte) ausreichen, um die Fraktur stabil zu versorgen. Die Kirschnerdrähte werden nach 6 Wochen in einer lokalen Betäubung wieder entfernt und das Gelenk aus der Ruhigstellung freigegeben.
Die Versorgung von Frakturen, die aus mehreren Fragmenten bestehen und / oder eine weiche Knochensubstanz haben, werden offen über einen Hautschnitt reponiert und mit einer Platte aus Titan versorgt. Dieses ist eine der Domänen der winkelstabilen Versorgung, wobei ein Zusatzgewinde im Kopf der Schraube in einem Zusatzgewinde im passenden Plattenloch greift. Hierdurch wird eine besonders hohe Stabilität erzeugt.
Die Dauer des Eingriffes beträgt 45-60 Minuten, der stationäre Aufenthalt beträgt 1-3 Tage. Unterstützend erfolgt in der Anfangsphase eine Ruhigstellung in einer Gipsschiene, später wird auf eine abnehmbare Schiene (Orthese) gewechselt. Eine Materialentfernung erfolgt nicht routinemäßig.